Lewisburg: (931) 391-3155

Smile Makeover
Need A Smile Glow-Up? It's Time For A Smile Makeover!
What Is A Smile Makeover?
A smile makeover is a personalized dental treatment plan designed to create a smile you love to show off. It can address a variety of concerns, including:
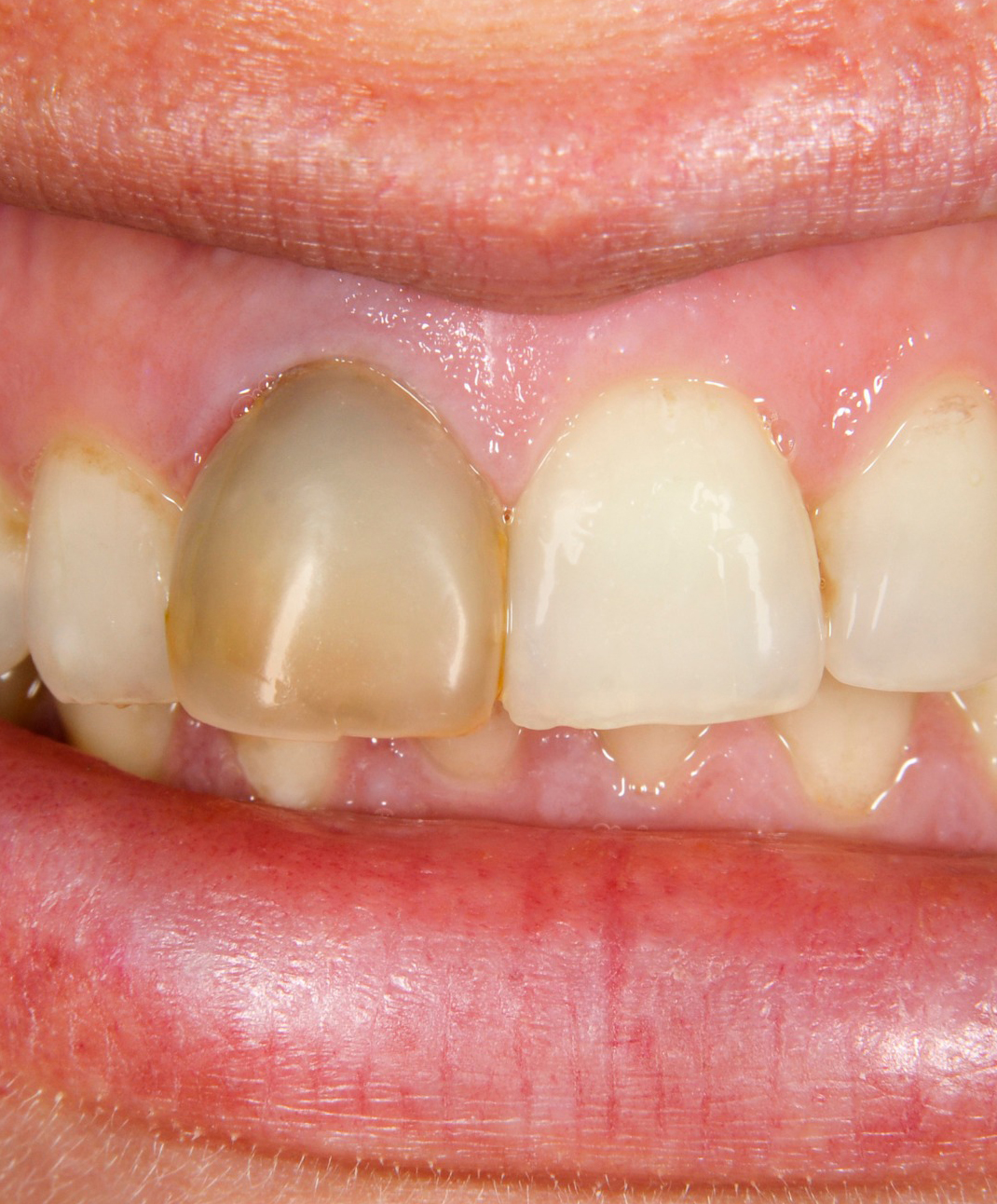
- Discolored teeth
- Chipped or cracked teeth
- Misaligned teeth
- Uneven gum lines
- Missing teeth
Who Is A Candidate For Smile Makeover?
At our dental office in Lewisburg, TN, we believe a confident smile is a powerful tool, and you deserve to unleash yours! But how do you know if a smile makeover is right for you? Here are some telltale signs:
Discoloration and Stains: Over time, teeth can become discolored from coffee, tea, red wine, or simply age. Traditional brushing might not be enough. A smile makeover can include professional teeth whitening for a brighter, more youthful appearance.
Chips, Cracks, or Uneven Teeth: Life happens, and sometimes teeth get chipped or cracked. Uneven or misshapen teeth can also detract from your smile's overall look. Smile makeovers can utilize techniques like dental bonding, veneers, or crowns to create a uniform, beautiful smile.
Gaps and Spacing: Gaps between teeth can be a source of self-consciousness. Smile makeovers can incorporate orthodontics (braces or clear aligners) to shift your teeth and close those unwanted gaps gently. In some cases, dental bonding or veneers can also be used to create the illusion of a closer smile.
Worn Down Teeth: Years of wear and tear can leave teeth looking shorter and dull. A smile makeover can address this concern with crowns or onlays, restoring both the function and aesthetics of your teeth.
Missing Teeth: Missing teeth can affect not just your smile's appearance but also your ability to chew properly. Smile makeovers can utilize dental implants to replace missing teeth, creating a permanent, natural-looking solution.
Benefits Of Smile Makeover
Beyond aesthetics, our smile makeover in Lewisburg, TN, offers a surprising range of benefits:
- Increased confidence: When you love your smile, you're more likely to share it with the world! A smile makeover can boost your confidence in social and professional settings.
- Improved oral health:Addressing underlying dental issues, such as misaligned teeth or missing teeth, can improve overall oral health and prevent future problems.
- Enhanced first impressions: A confident smile makes a positive first impression, which can be crucial in professional and personal interactions.
- Better overall well-being: Smiling can actually improve your mood and reduce stress. So, a smile makeover isn't just about how you look – it's about how you feel!
Taking Care Of Your Smile After Makeover
Here's your ultimate guide to maintaining your post-makeover smile and maximizing the longevity of your investment in confidence.
- Brushing and Flossing: Use a fluoride toothpaste specifically designed for cosmetic dentistry patients to help prevent staining and maintain the vibrancy of your veneers or crowns. Flossing daily is equally important, reaching those hidden areas between teeth that your brush can't. Talk to your dentist at Hallmark Dental Lewisburg about the best flossing technique for your specific needs.
- Diet Do's and Don'ts: While you can certainly indulge in celebratory treats after your smile makeover, mindful eating habits go a long way in safeguarding your new smile.
Lifestyle Habits: Certain lifestyle habits like smoking not only stain teeth but also weaken gums and increase your risk of oral health problems.





